症例

メイン画像

保険と自費の違い

保険の被せ物と入れ歯

ビフォー画像

セラミックの被せ物とインプラント

アフター画像

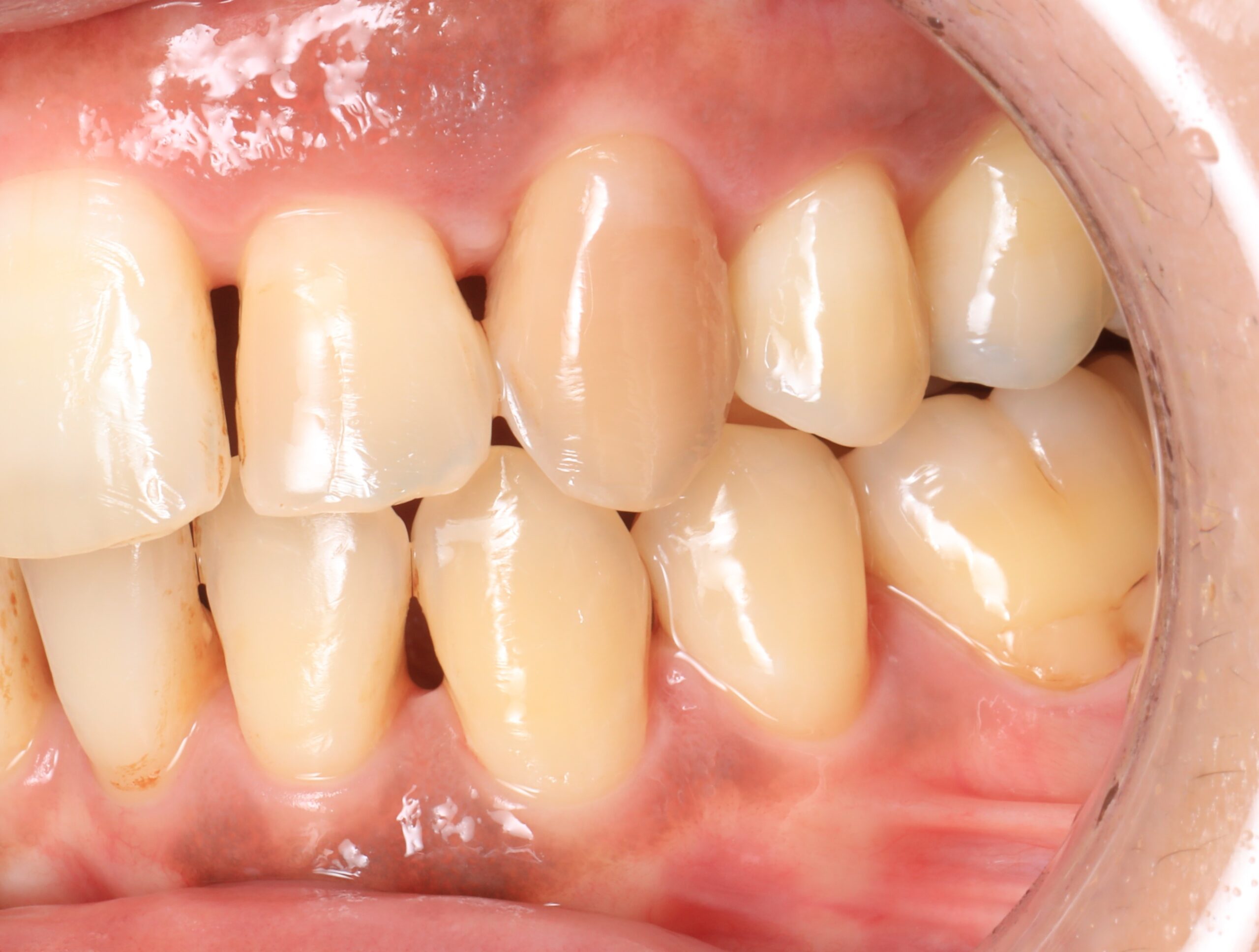
埋伏歯

Before

ビフォー画像

After

アフター画像

主訴

歯並びが気になる

治療

埋伏歯(埋まっている犬歯)の開窓・けん引、矯正治療

被せ物ベニア

Before

ビフォー画像

After

アフター画像

主訴

前歯の見た目が気になる

治療

ダイレクトボンディング、被せ物、ラミネートベニア

グラフトブリッジ

Before

ビフォー画像

After

アフター画像

グラフトブリッジ

Before

ビフォー画像

After

アフター画像

主訴

歯がグラグラする、見た目が気になる

治療

抜歯、歯肉移植、ブリッジ

インプラント

Before

ビフォー画像

After

アフター画像

主訴

歯を入れてほしい

治療方法

ブリッジ、インプラント

ウォーキングブリーチ

Before

ビフォー画像

After

アフター画像

治療方法

ウォーキングブリーチ